
Heart Scans
Heart scans are a non-invasive method of detailing the presence, location and extent of calcified plaque build-up and coronary artery narrowing. Using safe amounts of radiation (comparable to two chest x-rays), heart scans can reveal risk factors for heart disease or a heart attack by providing a picture of your heart and its adjacent blood vessels.
Download Document - Proactive Heart scans
Lung Scans
Lung cancer screening is a process that's used to detect the presence of lung cancer in otherwise healthy people with a high risk of lung cancer. Lung cancer screening is recommended for older adults who are long-time smokers and who don't have any signs or symptoms of lung cancer.

Colon Scans
Colon scans of your bowel, known as a virtual colonoscopy, is designed to check for polyps (small growths on the inner lining of the colon), and other signs of abnormalities or cancer. Generally recommended over the age of 50 years, unless there is a high risk of family history of colon cancer, when it is recommended earlier. Colon health is incredibly important, although it's not something most people want to talk about. The colon is a major organ essential for waste removal in the body. If the colon is not working properly, the body can't absorb essential nutrients or rid itself of waste.
Download document - proactive colon scans
Bone Densitometry
Bone densitometry, also called dual-energy x-ray absorptiometry, DEXA or DXA, uses a very small dose of ionizing radiation to produce pictures of the inside of the body (usually the lower (or lumbar) spine and hips) to measure bone loss. A bone density test is mainly done to look for osteoporosis (thin, weak bones) and osteopenia (decreased bone mass) so that these problems can be treated as soon as possible. Early treatment helps to prevent bone fractures. The complications of broken bones related to osteoporosis are often severe, particularly in the elderly. The earlier osteoporosis can be diagnosed, the sooner treatment can be started to improve the condition and/or keep it from getting worse.

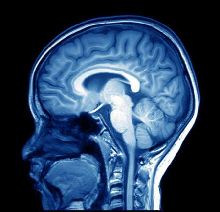
Brain Scans
MRI of the brain can be useful in evaluating problems such as persistent headaches, dizziness, weakness, and blurry vision or seizures, and it can help to detect certain chronic diseases of the nervous system, such as multiple sclerosis. The arteries of the brain can be evaluated non invasively to exclude aneurysms or vascular malformities.
